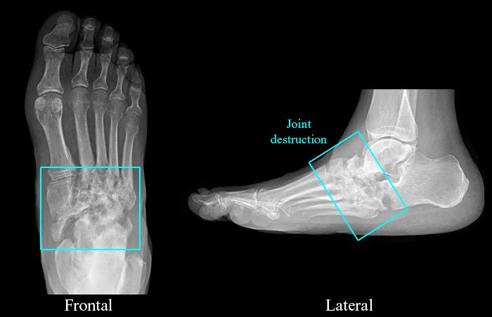
-There is preservation of bone mineral density.-There is osseous fragmentation, midfoot fractures, and destruction of multiple tarsometatarsal joints.
Discussion
Neuropathic arthritis is caused by chronic repetitive trauma to insensitive joints. Underlying causes include diabetes, steroid use, trauma, alcoholism, multiple sclerosis, spina bifida, and syringomyelia. The radiologic findings are frequently discussed at the “6 D’s:” Density i.e. bone density maintained, Dislocation, Debris, Distention i.e. soft tissue swelling and joint effusions, Destruction, Disorganization.
http://eradiology.bidmc.harvard.edu/Classics/item.aspx?section=Emergency+Radiology&labelpk=33f0adab-853f-4010-a0e2-0756b3f1eac5&pk=001e927a-d1a5-417a-a4e1-954b594ef9ea


No comments:
Post a Comment