Coronal and Axial T1-Weighted MRI Scan Showing Right Hippocampal Sclerosis (Arrow)http://www.ncbi.nlm.nih.gov/bookshelf/br.fcgi?book=epi&part=ch3&rendertype=figure&id=ch3.f1
the world of radiology is the world of magic and gessing
Coronal and Axial T1-Weighted MRI Scan Showing Right Hippocampal Sclerosis (Arrow)
Sagittal and coronal US of a grade 2 hemorrhage
Intraventricular hemorrhage (IVH) with periventricular hemorrhagic infarction (PVHI).
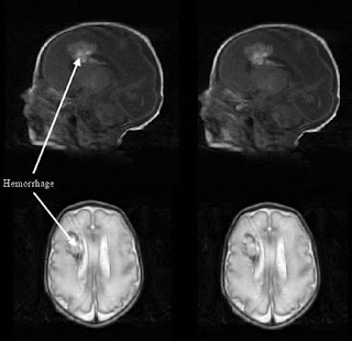
Severe or grade III hemorrhage (subependymal with significant ventricular enlargement).
Sonographic appearance of a normal neonatal brain. Image is from a coronal midline scan.
Acute stage of periventricular leukomalacia (PVL). Fluid-attenuated inversion recovery (FLAIR) MRI shows bilateral periventricular hyperintensity.
Late-stage periventricular leukomalacia (PVL). Sagittal T1-weighted MRI shows an atrophied, irregular corpus callosum and atrophic brain parenchyma.
1. Cingulate gyrus
Major anatomical boundaries of mesial temporal lobe on coronal MRI. A is the most rostral and H is the most caudal MRI section. Only MRIs displaying critical landmarks are shown. (A) The anterior border of the perirhinal cortex (PC) is located at the level of the limen insulae (LI). (B) The anterior border of the entorhinal cortex (EC) begins on average 2 mm behind the limen insulae. This coincides with the appearance of the temporal stem (TS). (C) Section through the hippocampal head (HH). (D) The posterior border of the EC is located at the posterior limit of the gyrus intralimbicus (GI) and coincides with the anterior border of the hippocampal body (HB). (E) The posterior border of the PC is situated 2 mm caudal to the posterior end of the EC. (F) The rostral border of the posterior parahippocampal cortex (PPC) is situated 1 mm caudal to the posterior end of the PC. (G) The anterior border of the hippocampal tail (HT) coincides with the crus fornix (CF) becoming fully visible. (H) The posterior border of the PPC is situated at the level of the posterior end of the hippocampal tail (HT). AM = amygdala; CS = collateral sulcus; FI = fimbria

Diagram of the hippocampal anatomy and adjacent structures in the mesial temporal lobe. The cornu ammonis, a part of the hippocampus, can be divided into four fields: CA1, CA2, CA3, and CA4.
Coronal T2-weighted magnetic resonance images demonstrate mesial temporal sclerosis on the right, as well as associated findings of a small right mammillary body and a small right fornix.
Fluid-attenuated inversion recovery (FLAIR) magnetic resonance images in a 40-year-old patient with complex partial seizures. The right hippocampus is atrophic and has increased signal intensity that is compatible with mesial temporal sclerosis. Other associated findings of mesial temporal sclerosis are present and are better demonstrated on coronal T2-weighted magnetic resonance images than they are on these images.
Dysembryoplastic neuroepithelial tumour on the left (coronal 3.0 T MRI). (A) T2 weighted FLAIR image. (B) Dual echo late echo image (TE 120). The images show a circumscribed multicystic mass with hyperintense signal in the region of the left amygdala. (Click here to magnify the figure)
Left hippocampal sclerosis (3.0 T MRI). (A) Inversion recovery prepared (IRprep) T1 weighted acquisition showing an atrophic hippocampus (on right of image: arrow). (B) T2 weighted fluid attenuated inversion recovery (FLAIR) image demonstrating increased T2 weighted signal within the sclerotic hippocampus. (C) Early echo image from dual echo data (TE 30 ms). (D) Later echo image from the same dual echo data (TE 120 ms). Hippocampal T2 relaxation times may be obtained using the data from the dual echo sequence. (Click here to magnify the figure)
Intraventricular metastases from lung carcinoma. Axial enhanced Tl-weighted images demonstrate an enhancing mass within the atrium and occipital horn of the right lateral ventricle. Note attachment to the pedicle of the choroid plexus (arrow). (Click to magnify figure)
Metastatic breast carcinoma. A, Axial FLAIR images demonstrate a solitary mass with extensive surrounding edema in the left subinsular region. B, Axial and coronal enhanced Tl -weighted images show ring enhancement. Although the differential for a solitary mass lesion includes primary neoplasms and infectious etiologies, the peripheral location of this lesion, and the disproportionate amount of edema incited by the mass suggest metastatic disease. (Click to magnify figure)
Cystic meningioma. A, Axial postcontrast Tl -weighted image reveals a cystic mass lesion involving the left frontal lobe with peripheral enhancement, as well as enhancement around a trapped CSF intensity collection laterally (white arrow). B, Axial postcontrast Tl -weighted image near vertex of the head demonstrates the extra-axial nature of the mass with associated dural attachment (white arrow). (Click to magnify figure)
Meningioma in a 27-year-old woman who presented with new-onset seizure. A, Axial unenhanced CT image demonstrates a large hyperdense extra-axial mass in the left temporal region with associated central calcification (black arrow) and surrounding edema. B, Axial enhanced CT demonstrates intense homogeneous enhancement. Distinction of intra- versus extra-axial mass by CT can be difficult. C, Axial T2-weighted MR image clearly demonstrates a CSF cleft around the circumference of the tumor (arrowhead) indicating this to be an extra-axial mass. D, Sagittal postcontrast Tl -weighted image demonstrates a dural tail anteriorly and posteriorly along the tentorium (white arrows). (Click to magnify figure)
Lymphoma. A, Axial T2-weighted image shows relatively low signal intensity of the mass indicating high cellularity (black arrow) with surrounding edema high signal intensity B, Postcontrast Tl-weighted image demonstrates marked enhancement of the mass in the right centrum semiovale with surrounding edema. (Click to magnify figure)
Primitive neuroectodermal tumor (PNET). A, Axial T2-weighted image demonstrates a large hemispheric heterogeneous signal mass with areas of cyst formation (white arrow). Note iso-intense signal of the mass on T2-weighted image reflecting high cellularity. B, Axial Tl -weighted image demonstrates presence of hemorrhage (arrowhead). C, Axial postcontrast Tl -weighted images shows heterogeneous enhancement pattern. (Click to magnify figure)

Gliomatosis cerebri. Coronal FLAIR images show diffuse infiltration of the left temporal lobe with gray and white matter involvement (arrowhead). Note the relative lack of mass effect for the degree of infiltration. The white matter infiltration extends across the corpus callosum (white arrow) and involves bilateral deep white matter tracts (double arrow). (Click to magnify figure)
Anaplastic astrocytoma. Axial T2-weighted, FLAIR, and gradient echo images demonstrate a left frontal opercular mass with a minimal amount of edema. Appearance might suggest low-grade glioma; however, the presence of hemorrhage (white arrow) suggests higher grade. (Click to magnify figure)