RadiologySpirit
the world of radiology is the world of magic and gessing
Monday, July 19, 2010
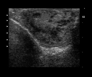
Sonogram depicting a combination of an intratesticular and extratesticular right-sided varicocele.
http://emedicine.medscape.com/article/382288-imaging
No comments:
Post a Comment
‹
›
Home
View web version
No comments:
Post a Comment