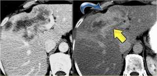
Intrahepatic cholangiocarcinoma. Capsular retraction and the late enhancement
Early and late phase enhancement of a intrahepatic cholangiocarcinomaThe key findings to look for are:
•Delayed enhancement
•Peripheral biliary dilatation
•Capsular contraction
http://www.radiologyassistant.nl/en/49e17de25294d#a49e4e5125f1b4



No comments:
Post a Comment