skip to main
|
skip to sidebar
RadiologySpirit
the world of radiology is the world of magic and gessing
Custom Search
Tuesday, May 4, 2010
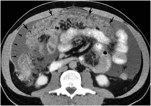
arrow=omental cake.
arrow head=irregular thickening and enhancement
of peritoneum.
massive ascites.
BiblioMed Textbook-Computed Body Tomography
No comments:
Post a Comment
Newer Post
Older Post
Home
Subscribe to:
Post Comments (Atom)
melmas
Mohamed Elmasry
Cairo, Egypt
,Male doctor ,MD in Radiology since 1991
View my complete profile
Total Pageviews
Mamduh Mahfuz Radiological Lectures
MRI ANKLE (MM)
(1)
MRI HIP (MM)
(1)
MRI KNEE (MM)1
(1)
MRI KNEE (MM)2
(1)
MRI KNEE (MM)3
(1)
MRI KNEE (MM)4
(1)
MRI SHOULDER(MM)1
(1)
MRI SHOULDER(MM)2
(1)
MRI SHOULDER(MM)3
(1)
MRI SHOULDER(MM)4
(1)
MRI WRIST (MM)
(1)
INDEX BY ANATOMICAL SYSTEMS
MRI ankle
(1)
MRI knee
(25)
MRI shoulder
(9)
Vascular diseases
(126)
abdominal diseases
(380)
benign breast lesions
(17)
blood diseases
(21)
bone diseases
(95)
brain diseases
(153)
breast diseases
(54)
cardiac diseases
(2)
chest diseases
(247)
dental diseases
(3)
emergency radiology
(66)
head and neck diseases
(51)
musculo skeletal diseases
(37)
pelvic diseases
(135)
petrous bone
(12)
retro peritoneal diseases
(38)
scrotal diseases
(47)
spinal cord diseases
(25)
testicular diseases
(20)
thyroid diseases
(9)
vertebral column diseases
(37)
INDEX BY CLINICAL SYMPTOMS
KNOW HOW DIFFERENTIAL DIAGNOSIS
D.D. of Anterior Mediastinal Masses
(1)
D.D. of acute alveolar infiltrate
(1)
D.D. of pneumomediastinum
(2)
D.D. of spiculated breast mass
(1)
D.D.of Brain Tumors
(1)
D.D.of opacified hemithorax
(1)
D.D.of peri-ventricular lesions
(1)
D.D.of pneumomediastinum
(4)
D.D.of pneumoperitoneum
(2)
FETAL STUDIES
Embryonic demise
(2)
early pregnancy
(1)
fetus:Cornual pregnancy
(1)
fetus:Fetal club hand deformity
(1)
fetus:How to spot the Normal ductus venosus:
(1)
fetus:general
(2)
DOPPLER STUDIES
Location of Dorsalis Pedis Artery
(1)
Location of Posterior Tibial Artery
(1)
Normal Doppler Flow Patterns
(1)
calculation of arterial flow indices
(1)
changing of wall filter
(1)
color base line
(1)
color base line adjustment
(1)
color box
(1)
color doppler wall filter
(1)
color flow imaging
(1)
color gain
(1)
color velocity scale
(1)
deep venous thrombosis
(6)
doppler study of bowel vessels
(1)
doppler study of ABI
(1)
doppler study of IVC
(1)
doppler study of abdominal aorta
(1)
doppler study of brachio-cephalic vein
(1)
doppler study of carotid and vertebral vessels
(13)
doppler study of celiac trunk and sup.mesenteric artery
(2)
doppler study of cerebral arteries
(1)
doppler study of hepatic artery
(1)
doppler study of hepatic veins
(1)
doppler study of internal jugular vein
(1)
doppler study of lower limb arteries
(1)
doppler study of lower limb veins incompetence
(2)
doppler study of lower veins
(17)
doppler study of normal arterial spectrum
(1)
doppler study of ovarian vessels
(1)
doppler study of portal vein
(1)
doppler study of pseudo aneurysm of popliteal artery
(1)
doppler study of renal arteries
(1)
doppler study of renal vein
(1)
doppler study of reno-vascular disease
(5)
doppler study of superior sagital sinus
(1)
doppler study of superior vena cava
(1)
doppler study of testicular vessels
(1)
doppler study of umbulical vessels
(1)
doppler study of upper veins
(1)
groups of perforators
(1)
how to ascess foot's vessels
(1)
inverted spectral wave form
(1)
lower limb veins
(2)
lower limb veins thrombosis
(1)
normal hepatic venous wave form
(1)
normal venous characteristics
(1)
occluded great saphenous vein
(1)
perforator veins
(1)
perforator veins of great saphenous vein
(1)
perforators of great saphenous vein
(1)
perforators of small saphenous vein
(1)
real time compression ultrasound
(1)
respiratory variations of the spectral wave form
(1)
reversal left portal venous flow
(1)
spectral adjustement
(6)
spectral base line
(1)
spectral scale adjustement
(1)
varices
(1)
varicocele
(10)
vascular anatomy
(1)
Fat Burning Furnate
Click Here!
Egypt Calender
Free Calendar
RADIOLOGY KNOW HOW
ANTERIOR MEDIASTINAL MASSES
(19)
Anterior cardio-phrenic angle masses
(1)
Aortic dissection
(18)
Aortico-pulmonary space lesions
(1)
BI-RADS category 2
(2)
BI-RADS category 3
(8)
BI-RADS category 4
(8)
BI-RADS category 5
(13)
Hepatic Lesions(D.D.)
(1)
IVC abnormalities
(7)
MRI DIfferentiation between cholesteatoma and Ear inflammation
(1)
Pre-vascular space masses
(1)
Retro-sternal mediastium lesions
(1)
Value of unenhanced CT in an opacified sinus
(1)
abdominal aortic aneurysm
(4)
abdominal wall masses
(10)
abscess
(17)
adrenal mass
(16)
adrenal mass with heterogenous enhancement
(2)
aortic abnormalities
(13)
aortic aneurysm versus dissecting aneurysm
(1)
benign thyroid nodule
(4)
bile duct dilation diseases
(2)
bile duct stricture
(2)
calcified pleural plaques
(2)
causes of epilepsis
(20)
cerebral palsy
(6)
chest differential diagnosis
(1)
chest wall masses
(10)
cobb's angle
(1)
diffuse retro peritoneal lesions
(4)
dilated biliary radicles
(32)
effusion versus ascites
(4)
empyema versus lung abscess
(2)
empyema versus pleural effusion
(1)
extra pleural masses
(5)
gall bladder diseases
(12)
gall bladder masses
(4)
gall bladder stone
(9)
grading of spondylolisthesis
(1)
hematoma
(21)
hepatic hemangioma versus metastases
(1)
hernias
(11)
hysterosalpingography
(26)
inter vertebral foramen masses
(8)
intra-peritoneal spaces
(3)
knee joint abnormalities
(4)
leukaemia
(6)
lung masses
(7)
lymphoma
(12)
malignant thyroid nodule
(1)
mediastinal lymph-adenopathy
(6)
mediastinal cysts
(6)
mediastinal masses
(4)
meningomyelocele versus encephalocele
(1)
mesenteric lymph adenopathy
(3)
mesenteric masses
(7)
normal versus herniated disc
(1)
omental masses
(3)
opacified hemithorax(D.D.)
(1)
otitis media versus cholesteatoma
(1)
paracardiac masses
(2)
paravertebral masses
(3)
peri portal vein lucencies
(2)
peri ventricular hemorrhage
(13)
peritoneal masses
(9)
pleural disease versus pulmonary
(1)
pleural masses
(7)
pleural nodules
(3)
renal hypodense focal lesions
(23)
renal para pelvic masses
(5)
retro peritoneal lymph adenopathy
(10)
retrolisthesis grading
(1)
rib masses
(1)
ribs masses
(7)
vertebral lesions
(15)
water attenuated adrenal masses
(4)
BRAIN IMAGING
Achondroplasia
(2)
Acoustic Neuroma
(2)
Acrania
(2)
Acute Subdural Hematoma
(2)
Arachnoid cyst
(2)
Berry Aneurysm
(2)
Brain Lipoma
(2)
Brain Metastases
(8)
Brain Tumors
(20)
Cerebellar Atrophy
(1)
Cerebral Contusion
(1)
Cerebral Diffuse Axonal Injury
(1)
Cerebral Stroke
(1)
Chiari-Malformation
(1)
Chronic Subdural Hematoma
(1)
Cleido-cranial dysostosis
(1)
Colloid Cyst
(1)
Corpus Callosal Anomalies
(1)
Cranial hemorrhage using MRI
(1)
D.D.of Brain Tumors
(1)
D.D.of peri-ventricular lesions
(1)
Dandy-Walker Complex
(1)
Dementia(Fronto-temporal )
(1)
Dermoid Cyst
(2)
Diastematomyelia
(1)
Differentiation between old and recent infarction using diffusion sequence
(1)
Diffusion images and acute stroke
(1)
Diffusion images in different brain lesions.
(1)
Diffusion imaging and inflammation
(1)
Diffusion sequence and brain tumors
(1)
Diffusion sequence and demyelination
(1)
Diffusion sequence and hemorrhage
(1)
Diffusion-weighted MRI in head and neck
(1)
Dysembryoplastic NeuroepithelialTumor(DNET)
(1)
Epidural Hematoma
(4)
Guillain-Barré syndrome
(2)
Hemimegalencephaly
(1)
Heterotopic Grey Matter
(2)
Hippocampal sclerosis
(5)
Holoprosencephaly
(1)
Hydrocephalus
(1)
Internal Carotid Thrombosis
(1)
Intracranial Calcification
(1)
Intraventricular Hemorrhage
(1)
Juvenile Pilocytic Astrocytoma
(1)
Lissencephaly
(1)
Malformations of cortical development
(1)
Multiple Sclerosis
(3)
Myelomeningocele
(1)
Neuroblastoma
(1)
Neurofibromatosis 2
(2)
Non Enhanced Intracranial Cysts
(1)
Rhombencephalosynapsis
(1)
Schizencephaly
(2)
Skull Fractures
(1)
Sub-arachnoid Hemorrhage
(1)
Subacute Subdural Hematoma
(1)
Traumatic Brain Questions
(1)
Tuberous Sclerosis
(1)
anaplastic astrocytoma
(2)
brain cavernous hemangioma
(1)
brain infarction
(1)
brain lymphoma
(1)
causes of epilepsis
(20)
cerebral hemorrhage
(1)
cerebral palsy
(6)
epilepsy
(19)
glioblastoma multiforms
(4)
glioblastoma multiforms(multicenteric)
(1)
gliomatosis cerebri
(2)
low grade astrocytoma
(1)
meningioma
(2)
meningomyelocele versus encephalocele
(1)
mental retardation(radiological causes)
(1)
oligodendroglioma
(1)
peri ventricular hemorrhage
(13)
periventricular leukomalacia
(1)
primitive neuro-ectodermal tumors
(1)
spinal cord ADEM disease
(1)
spinal cord astrocytoma
(1)
spinal cord contusion
(1)
spinal cord ependymoma
(1)
spinal cord metastases
(1)
spinal cord multiple sclerosis
(1)
spinal disraphism
(1)
Nursing Uniform
SPINAL IMAGING
Acoustic Neuroma
(2)
Acquired tracheobronchomegally
(1)
Diastematomyelia
(1)
Discitis and Osteomyelitis
(1)
Guillain-Barré syndrome
(2)
Intra medullary spinal malformation
(1)
Multiple Sclerosis
(3)
Myelomeningocele
(1)
Myelopathy
(1)
Neuroblastoma
(1)
THORASIC PERIPHERAL MALIGNANT NERVE SHEATH TUMOR
(1)
Thoracic and Lumbar Spine Review
(1)
Thorasic Lateral Meningocele
(2)
Thorasic Neuroblastoma
(1)
Thorasic Schwanoma
(2)
anatomy of ora-serrata
(1)
arachnoiditis
(1)
cervical aortic arch
(2)
chest schewanoma
(2)
grading of spondylolisthesis
(1)
healing rib fracture
(1)
inter vertebral foramen masses
(8)
kyphosis
(1)
lumbar strain
(1)
neurolemomma
(1)
para vertebral masses
(1)
paravertebral masses
(3)
retrolisthesis grading
(1)
scoliosis
(1)
spinal cord ADEM disease
(1)
spinal cord astrocytoma
(1)
spinal cord contusion
(1)
spinal cord diseases
(25)
spinal cord ependymoma
(1)
spinal cord metastases
(1)
spinal cord multiple sclerosis
(1)
spinal disraphism
(1)
spinal stenosis
(1)
spondylolisthesis
(1)
syringomyelia
(1)
vertebral column diseases
(37)
vertebral lesions
(15)
vertebral osteo-arthritis
(1)
vertebral osteomyelitis
(2)
vertebral trauma
(1)
vertebral tumors
(1)
EGYPT TIME:
Free Clock
HEAD AND NECK IMAGING
Acoustic Neuroma
(2)
Acquired tracheobronchomegally
(1)
Carotid space lesions
(1)
Chiari-Malformation
(1)
Devic"s syndrome
(1)
Diffusion-weighted MRI in head and neck
(1)
Discitis and Osteomyelitis
(1)
External Auditary Canal Atresia
(1)
Fibrous dysplasia of sphenoid wing
(1)
Hyper-parathyroidism
(1)
Internal Carotid Thrombosis
(1)
Intra medullary spinal malformation
(1)
Juvenile Angiofibroma
(1)
MRI DIfferentiation between cholesteatoma and Ear inflammation
(1)
Multiple Sclerosis
(3)
Naso-pharyngeal Carcinoma
(2)
Nasopharygeal Lesions
(2)
ORBITAL LESIONS
(1)
Parotid tumors D.D
(1)
Temporal Bone Gallery
(1)
Thornwaldt Cyst
(1)
Tracheo-pathia osteoplastica
(1)
Value of unenhanced CT in an opacified sinus
(1)
anatomy of ora-serrata
(1)
benign thyroid nodule
(4)
cervical aortic arch
(2)
choroidal detachment
(1)
coloboma
(2)
doppler study of brachio-cephalic vein
(1)
doppler study of carotid and vertebral vessels
(13)
grave's disease
(1)
inter vertebral foramen masses
(8)
intra-orbital calcification
(1)
lumbar strain
(1)
malignant melanoma
(1)
malignant thyroid nodule
(1)
multi nodular goiter
(1)
optic nerve glioma
(1)
optic nerve meningioma
(1)
orbital calcification
(1)
orbital cellulitis
(1)
otitis media versus cholesteatoma
(1)
para vertebral masses
(1)
paravertebral masses
(3)
peri orbital abscess
(1)
pseudo-tumor of orbit
(1)
retinal detachment
(2)
retinoblastoma
(4)
rupture globe
(1)
spinal cord ADEM disease
(1)
spinal cord astrocytoma
(1)
spinal cord contusion
(1)
spinal cord diseases
(25)
spinal cord ependymoma
(1)
spinal cord metastases
(1)
spinal cord multiple sclerosis
(1)
spinal disraphism
(1)
spinal stenosis
(1)
syringomyelia
(1)
thyroid eye disease
(1)
tracheal adenoid cystic carcinoma
(1)
tracheal amylodosis
(1)
tracheal mucoepidermoid carcinoma
(1)
tracheal papilomatosis
(1)
tracheal stricture
(2)
tracheo-bronchomegally
(1)
traumatic cataract
(1)
vertebral hemangioma
(5)
vertebral lesions
(15)
vertebral osteo-arthritis
(1)
vertebral osteomyelitis
(2)
vertebral trauma
(1)
vertebral tumors
(1)
Cairo Hotels
Check-in:
Check-out:
Guests:
1
2
3
Rooms:
1
2
3
Search
View all Cairo hotels
CURRENT WEATHER
Cairo Weather Forecast, Egypt
BREAST IMAGING
BI-RADS AND CALCIFICATION
(1)
BI-RADS AND CALCIFICATION(FIGURES 2)
(1)
BI-RADS AND CALCIFICATION(FIGURES)
(1)
BI-RADS categories
(1)
BI-RADS category 0
(1)
BI-RADS category 1
(1)
BI-RADS category 2
(2)
BI-RADS category 3
(8)
BI-RADS category 4
(8)
BI-RADS category 5
(13)
Breast Calcification
(3)
Breast calcification workup
(6)
Molecular breast imaging
(1)
Molecular breast imaging-MBI
(1)
Self Breast Examination
(1)
Self Examination Video
(2)
Self Male Breast Examination
(1)
breast
(1)
breast abscess
(1)
breast amartoma
(1)
breast carcinoma
(1)
breast cyst
(1)
breast diseases
(54)
breast fat necrosis
(1)
breast fibro-adenoma
(1)
breast hamartoma
(2)
breast implant rupture
(3)
breast radial scar
(1)
American Language
Click Here!
CHEST IMAGING
ANTERIOR MEDIASTINAL MASSES
(19)
Acquired tracheobronchomegally
(1)
Acute Pulmonary Edema
(2)
Anterior cardio-phrenic angle masses
(1)
Aortic dissection
(18)
Aortico-pulmonary space lesions
(1)
Bochdadlek Hernia
(1)
Bronchogenic cyst
(5)
CHEST-HRCT INTERPRET
(3)
Coronary Artery
(1)
D.D. of acute alveolar infiltrate
(1)
Diaphragmatic Hernia
(3)
Diaphragmatic Rupture
(1)
Differential Diagnosis of Pulmonary disease
(1)
Diffuse Mediastinal Abnormalities
(4)
Esophageal Adeno-carcinoma
(1)
Esophageal Duplication cyst
(2)
Esophageal Hematoma
(1)
Esophageal Leiomyoma
(1)
Esophageal rupture
(1)
Esophagitis
(1)
Hemopericardium
(2)
Hemothorax
(1)
Kartagener's Syndrome
(1)
Lipomatous changes of inter-atrial septum
(1)
MEDIASTINAL PARAGANGLIOMA
(1)
Mediastinal Hemangioma
(1)
Mediastinal Lipo-sarcoma
(1)
Mediastinal Lipoma
(2)
Mediastinal Lymphangioma
(3)
Mediastinal lipoblastoma
(1)
Morgagny Hernia
(2)
Neuroblastoma
(1)
Omental Hernia through esophageal hiatus
(1)
Pericardial Cyst
(1)
Pneumonia
(1)
Pneumonia=Acute Pulmonary Infiltrate
(1)
Pneumoperitoneum
(1)
Pre-vascular space masses
(1)
Pulmonary Aspiration= Acute Alveolar Edema
(2)
Pulmonary Embolism
(2)
Respiratory Distress Syndrome
(1)
Retro-sternal mediastium lesions
(1)
Sternomanubrial Dislocation
(1)
Superior Vena Cava Syndrome
(1)
THORASIC PERIPHERAL MALIGNANT NERVE SHEATH TUMOR
(1)
Thoracic and Lumbar Spine Review
(1)
Thorasic AIDS-lymph-adenopathy
(1)
Thorasic Lateral Meningocele
(2)
Thorasic Neuroblastoma
(1)
Thorasic Schwanoma
(2)
Thorasic aortic aneurysm
(2)
Thorasic aortic aneurysm(ruptured)
(1)
Thorasic aortic arch aneurysm
(1)
Thymic Carcinoma
(1)
Thymic Chorio-carcinoma
(1)
Thymic Cyst
(1)
Thymic Hyperplasia
(1)
Thymic Lymphoma
(2)
Thymic Lymphoma cystic
(1)
Thymic Rebound hyperplasia
(1)
Thymic Seminoma
(1)
Thymic cyst hemorrhagic
(1)
Thymo-lipoma
(1)
Thymoma Non-invasive
(1)
Thymoma invasive
(1)
Tracheo-pathia osteoplastica
(1)
aortic abnormalities
(13)
aortic aneurysm versus dissecting aneurysm
(1)
aortic pseudo aneurysm
(1)
asbestos-related plaques
(1)
asbestos-related pleural plaque
(1)
azygos fissure
(1)
azygous and hemi azygous continuation of IVC
(1)
azygous continuation of inferior vena cava
(1)
benign lung lesion
(2)
bronchial adenoma(carcinoid tumor)
(2)
bronchial asthma
(1)
bronchiectasis
(2)
bronchocele
(1)
bronchogenic carcinoma
(1)
bronchogenic carcinoma simulating round atelectasis
(1)
cardiac diseases
(2)
causes of pneumomediastinum
(1)
cervical aortic arch
(2)
chest actinomycosis
(1)
chest differential diagnosis
(1)
chest hiatal hernia
(1)
chest schewanoma
(2)
chest wall desmoid tumor
(1)
chest wall involved by lymphoma
(1)
chest wall masses
(10)
chest wall metastatic lymphadenopathy
(1)
compressive collapse
(3)
congestive heart failure
(3)
dense thick pleural plaques
(1)
diaphragmatic view from below
(1)
doppler study of brachio-cephalic vein
(1)
early ruptured aortic aneurysm
(1)
effusion versus ascites
(4)
empyema versus lung abscess
(2)
empyema versus pleural effusion
(1)
epi sternal bones
(1)
epithelioid carcinoma
(1)
esophageal carcinoma
(1)
esophageal lesions
(1)
esophageal varices
(1)
esophago-pleural fistula
(1)
extamedullary hematopoiesis
(1)
extra pleural liposarcoma
(1)
extra pleural masses
(5)
extra-pleural fat
(2)
extra-pleural lipoma
(1)
fibrosing mediastinitis
(2)
fibrosis mimiking superior sulcus carcinoma
(1)
hamartoma
(2)
healed granuloma
(1)
healing rib fracture
(1)
infarcted extra pleural lipoma
(1)
infected athero sclerotic aneurysm
(1)
inferior pulmonary ligament
(1)
inferior vena cava segments
(1)
infra renal aortic aneurysm involving both iliac arteries
(1)
inter vertebral foramen masses
(8)
invasive aspergillosis
(1)
kyphosis
(1)
leaking penetrating atherosclerotic aortic ulcer
(1)
left brachio-cephalic vein
(1)
left inferior pulmonary vein
(1)
left lower lobe collapse
(1)
left pulmonary ligament
(1)
left superior intercostal vein
(1)
left upper lobe collapse
(2)
loculated empyema
(1)
lung abscess
(1)
malignant mesothelioma
(2)
malignant pleural effusion
(1)
mediastinal lymph-adenopathy
(6)
mediastinal Diffuse lipomatosis
(3)
mediastinal abscess
(1)
mediastinal and hilar lymphadenopathy
(1)
mediastinal cysts
(6)
mediastinal lymph-adenopathy
(1)
mediastinal masses
(4)
mediastinitis
(1)
neurolemomma
(1)
normal inter-costal veins
(1)
normal sternum
(1)
opacified hemithorax(D.D.)
(1)
osteo-chondroma of rib
(1)
osteo-sarcoma of rib
(1)
para vertebral masses
(1)
para-cardiac lymphoma
(1)
paracardiac masses
(2)
paravertebral masses
(3)
patterns of pulmonary lesions
(1)
pectus excavatum deformity
(1)
peri-cardiac retro-aortic recess
(1)
peritoneal and pleural mesothelioma
(1)
pleural based lymphoma
(1)
pleural disease versus pulmonary
(1)
pleural fibrous tumor
(1)
pleural fissures
(1)
pleural hematoma
(1)
pleural hemetoma
(1)
pleural masses
(7)
pleural metastases
(1)
pleural nodule
(2)
pleural nodules
(3)
pneumothorax
(2)
poland syndrome
(1)
posterior chest wall lipoma
(1)
pulmonary AVM
(1)
pulmonary arterial hypertension
(2)
pulmonary atelectasis
(1)
pulmonary infarction
(1)
relapsing poly-chondritis
(1)
respiratory variations of the spectral wave form
(1)
retrolisthesis grading
(1)
rib counting method
(2)
rib fibrous dysplasia
(1)
rib masses
(1)
rib metastases
(3)
rib osteo-chondroma
(1)
rib sclerotic metastases
(1)
ribs masses
(7)
right pleural effusion
(1)
right upper lobe collapse
(1)
round atelectasis
(1)
rt.brachial plexus
(1)
rupture esophagus
(1)
rupture trachea
(1)
ruptured abdominal aortic aneurysm
(1)
saber sheath trachea
(1)
scoliosis
(1)
shocked aorta
(1)
spondylolisthesis
(1)
sternal masses
(2)
sternal metastases
(1)
sternal multiple myeloma
(1)
syringomyelia
(1)
teratoma non invasive
(2)
tracheal adenoid cystic carcinoma
(1)
tracheal amylodosis
(1)
tracheal mucoepidermoid carcinoma
(1)
tracheal papilomatosis
(1)
tracheal stricture
(2)
tracheo-bronchomegally
(1)
vertebral hemangioma
(5)
vertebral osteo-arthritis
(1)
vertebral osteomyelitis
(2)
vertebral trauma
(1)
vertebral tumors
(1)
wegeners granulomatosis
(1)
ABDOMINAL IMAGING
(neutropic colitis)
(1)
Abdominal Cystic Lesions
(1)
Abdominal Mass in a Neonate
(1)
Abdominal Pain
(2)
Abdominal Trauma
(1)
Acute Fitz-Hugh–Curtis syndrome
(1)
Adrenal Myelolipoma
(1)
Aortic dissection
(18)
Appendicitis
(7)
Bilateral subcutaneous emphysema
(1)
Bochdadlek Hernia
(1)
Boerhaave’s Syndrome
(1)
Bowel Ischemia
(1)
Bowel Wall Hemorrhage
(1)
Colovesical Fistula
(1)
Diaphragmatic Hernia
(3)
Diaphragmatic Rupture
(1)
Distinction between Ulcerative Colitis and Crohn Disease
(1)
Diverticulitis
(4)
Duodenal Diverticulum
(1)
Duodenal Duplication
(1)
Duodenal Lipomatosis
(1)
Endometrial carcinoma
(3)
Esophageal Adeno-carcinoma
(1)
Esophageal Duplication cyst
(2)
Esophageal Hematoma
(1)
Esophageal Leiomyoma
(1)
Esophageal rupture
(1)
Esophagitis
(1)
Extraluminal Intra-Abdominal Gas
(1)
Gallstone Ileus
(1)
Gasless Abdomen
(1)
Gastric Diverticulum
(1)
Gastric Hematoma
(1)
Gastric Polypoid Carcinoma
(2)
Gastric Stromal Cell Tumor
(1)
Gastric Varises
(1)
Gastric(linitis plastica)
(1)
Hepatic Lesions(D.D.)
(1)
Hepatic angio-myolipoma
(1)
IVC abnormalities
(7)
IVC duplication
(1)
IVC transposition
(1)
Ileal Carcinoid Mass
(1)
Ileal Lymphoma
(1)
Image Gallery
(4)
Intestinal Lymphoma
(2)
Mirrizi syndrome
(1)
Morgagny Hernia
(2)
Omental Hernia through esophageal hiatus
(1)
Pancreatic cystic fibrosis.
(1)
Pancreatic hemochromatosis
(1)
Peritoneal Cavity Diseases
(1)
Peritoneal Cystic Lesions
(1)
Peritoneal Pathology
(1)
Pneumoperitoneum
(1)
Prostatic Lesions
(8)
Renal transtional cell carcinoma
(3)
Spermatic cord(normal anatomy)
(1)
Tuberous Sclerosis
(1)
abdominal abscess
(1)
abdominal aortic aneurysm
(4)
abdominal lymph adenopathy
(1)
abdominal lymphadenopathy
(12)
abdominal spaces
(3)
abdominal wall abscess
(1)
abdominal wall hematoma
(1)
abdominal wall lipoma
(1)
abdominal wall masses
(10)
accessory spleen
(1)
achalasia
(1)
acute cholecystitis
(3)
adrenal aldosteronism
(1)
adrenal carsinoma
(2)
adrenal cushing syndrome
(1)
adrenal hyperplasia
(1)
adrenal mass
(16)
adrenal mass with heterogenous enhancement
(2)
adrenal pheochromocytoma
(1)
ampullary carcinoma
(1)
aortic abnormalities
(13)
aortic aneurysm versus dissecting aneurysm
(1)
aortic pseudo aneurysm
(1)
appendiceal abscess
(4)
ascending cholangitis
(1)
ascitis
(1)
atheromatous aorta
(1)
beloma
(1)
benign bile duct stricture
(2)
bile duct dilation classification
(1)
bile duct dilation diseases
(2)
bile duct stricture
(2)
biliary calculi and CT appearance
(1)
biliary caroli disease
(6)
biliary dilatation
(1)
calcified gall bladder wall
(1)
cervical carcinoma
(18)
cholangio carcinoma
(4)
cholangiographic correlation
(1)
choledochal cyst
(4)
circumcaval ureter
(1)
colon
(6)
colon(TB)
(2)
colon(amebiasis)
(1)
colon(appendicitis)
(2)
colon(crohn disease)
(2)
colon(diverticulitis)
(2)
colon(leukaemia)
(1)
colon(normal CT findings)
(1)
colon(pseudomembranous colitis)
(1)
colon(ulcerative colitis)
(4)
colonic dilatation
(2)
common bile duct calculus
(4)
crohn s disease
(4)
cul-de-sac abscess
(2)
cysto-urethrogram
(1)
desmoid tumor
(1)
diaphragmatic view from below
(1)
diffuse retro peritoneal lesions
(4)
dilated biliary radicles
(32)
doppler study of bowel vessels
(1)
doppler study of IVC
(1)
doppler study of abdominal aorta
(1)
doppler study of celiac trunk and sup.mesenteric artery
(2)
doppler study of hepatic artery
(1)
doppler study of hepatic veins
(1)
doppler study of portal vein
(1)
doppler study of renal arteries
(1)
doppler study of renal vein
(1)
doppler study of reno-vascular disease
(5)
emphysematous cholecystitis
(1)
endometriomas
(1)
esophageal carcinoma
(1)
esophageal lesions
(1)
esophageal varices
(1)
gall bladder carcinoma
(2)
gall bladder diseases
(12)
gall bladder hemobelia
(1)
gall bladder masses
(4)
gall bladder metastases
(1)
gall bladder metastatic melanoma
(1)
gall bladder porcelain
(1)
gall bladder septation
(1)
gall bladder stone
(9)
gall bladder wall edema
(1)
gastric perforation
(1)
hepatic amebic abscess
(1)
hepatic biliary cyst-adenoma
(1)
hepatic cholangio-carcinoma
(1)
hepatic cirrhosis
(1)
hepatic cyst(CT-US)
(1)
hepatic cyst(MRI)
(1)
hepatic diffuse D.D.
(1)
hepatic diffuse fatty infiltration
(1)
hepatic focal fatty infiltration
(1)
hepatic focal nodular hyperplasia
(2)
hepatic hemangioma
(3)
hepatic hemangioma versus metastases
(1)
hepatic hydatid cyst
(1)
hepatic iron overload
(1)
hepatic lymphoma
(1)
hepatic metastases
(2)
hepatic passive congestion
(1)
hepatic pyogenic abscess
(1)
hepatic radiation effect
(1)
hepatitis
(1)
hepato-cellular adenoma
(1)
hepato-cellular carcinoma
(5)
hepato-splenic sarcoidosis
(1)
hernias
(11)
hiatus hernia
(1)
hyro-salpinx
(1)
infected athero sclerotic aneurysm
(1)
infectious cholangitis
(1)
inferior vena cava segments
(1)
infra renal aortic aneurysm involving both iliac arteries
(1)
inguinal hernia
(2)
inter vertebral foramen masses
(8)
intestinal lesions
(23)
intestinal masses
(1)
intra-peritoneal hematoma
(1)
intra-peritoneal spaces
(3)
ischaemic colitis
(3)
kyphosis
(1)
lesser sac ascites
(1)
lesser sac hernia(strangulated)
(1)
lymph adenopathy(enhancing)
(1)
lymphoma
(12)
malignant ascites
(2)
malignant bile duct stricture
(1)
malignant melanoma
(1)
mesenteric carciniod tumor
(1)
mesenteric desmoid tumor
(1)
mesenteric lipoma
(1)
mesenteric lymph adenopathy
(3)
mesenteric lymphoma
(1)
mesenteric masses
(7)
mesenteric non hodgkin lymphoma
(1)
mesenteric tuberculosis
(1)
metastatic breast carcinoma
(1)
metastatic ovarian carcinoma
(1)
mycotic aortic aneurysm
(1)
omental angio sarcoma
(1)
omental infarction
(1)
omental masses
(3)
omental metastases
(1)
oreintal cholangitis
(1)
organ of zuckerkandl paraganglioma
(1)
oriental cholengitis(recurrent pyogenic cholangitis)
(1)
ovarian carcinoma
(7)
ovarian cyst
(2)
ovarian cyst-adeno--carcinoma
(1)
ovarian cyst-adenoma
(1)
ovarian dermoid
(1)
ovarian polycystic disease
(1)
pancreatic macrocystic adenocarcinoma
(1)
pancreatic anatomy
(1)
pancreatic cancer head
(1)
pancreatic carcinoma
(3)
pancreatic diseases
(1)
pancreatic gastrinoma
(1)
pancreatic head and neck carcinoma
(1)
pancreatic insulinoma
(2)
pancreatic macrocystic adenoma
(1)
pancreatic microcystic adenoma
(1)
pancreatitis acute stage
(1)
pancreatitis acute stage-complications
(1)
pancreatitis chronic stage
(3)
paravertebral masses
(3)
perforated duodenal ulcer
(1)
peri portal vein lucencies
(2)
peri vascular lymph edema
(1)
perihepatic space abscess
(1)
peritoneal and pleural mesothelioma
(1)
peritoneal endometriosis
(1)
peritoneal fat necrosis
(1)
peritoneal masses
(9)
peritoneal mesothelioma primary type
(1)
peritoneal metastases
(2)
peritonial anatomy
(1)
peritonitis
(1)
pneumobilia
(2)
polycystic liver disease
(1)
polysplenia
(1)
primary sclerosing cholangitis
(4)
pseudo myxoma peritonii
(1)
recurrent pyogenic cholangitis
(1)
renal abscess
(1)
renal angiomylolipoma
(1)
renal angiomyolipoma
(1)
renal aquired cystic disease
(2)
renal atrophy
(1)
renal autosomal dominent polycystic disease
(1)
renal calyceal diverticulum
(1)
renal cell carcinoma
(2)
renal contrast nephro-toxicity
(1)
renal cyst
(3)
renal cyst septated
(2)
renal cyst simple
(1)
renal failure acute stage
(1)
renal hydatid disease
(1)
renal hydro-nephrosis
(1)
renal hypodense focal lesions
(23)
renal infarcts
(1)
renal leiomyosarcoma
(1)
renal lymphoma
(3)
renal metastases
(1)
renal multilocular cystic nephroma
(1)
renal nephrocalcinosis
(1)
renal oncocytoma
(2)
renal para pelvic masses
(5)
renal para-pelvic cyst
(1)
renal perinephric abscess
(1)
renal perinephric hemorrhage
(1)
renal poly-artritis
(1)
renal pseudo-tumor
(1)
renal pyelo-nephritis(acute)
(3)
renal pyelo-nephritis(emphysematous)
(1)
renal tuberous sclerosis
(1)
renal vein thrombosis
(1)
renal xanthogranulomatosis pyelo-nephritis
(1)
renal:bilateral pelvic kidneys
(1)
renal:horse shoe kidney
(1)
retro peritoneal L.N. anatomy
(2)
retro peritoneal diseases
(38)
retro peritoneal fibrosis
(3)
retro peritoneal hemorrhage
(1)
retro peritoneal lymph adenopathy
(10)
ruptured abdominal aortic aneurysm
(1)
shocked aorta
(1)
simple hydrocele
(2)
simple spermatocele
(2)
spigelian hernia
(1)
splenic abscess
(1)
splenic angiosarcoma
(1)
splenic artery aneurysm
(1)
splenic bronchogenic metastases
(1)
splenic brucellosis
(1)
splenic calcific granulomata
(1)
splenic cleft
(1)
splenic compression
(1)
splenic cyst
(1)
splenic diffuse hemangiomatosis
(1)
splenic hemangioma
(1)
splenic hodgkin disease
(1)
splenic index
(1)
splenic infarcts
(1)
splenic lipoma
(1)
splenic lymphoma
(1)
splenic non hodgkin lymphoma
(1)
splenic ovarian calcified metastases
(1)
splenic pneumocystis carini infection
(1)
splenic sarcoidosis
(1)
subphrenic abscess
(1)
superior mesenteric vein thrombosis
(1)
testicle intra-canalicular
(1)
testicular cyst
(1)
testicular seminoma
(2)
tuberculus peritonitis
(1)
umbulical endometriosis
(1)
ureteral duplication
(1)
urinary bladder carcinoma
(5)
urinary bladder infection
(1)
uterine adenomyosis
(1)
uterine fibroid
(1)
ventral hernia
(1)
wandering spleen
(1)
water attenuated adrenal masses
(4)
wegeners granulomatosis
(1)
whipple disease
(2)
Diabetes and Health
PELVIC IMAGING
Appendicitis
(7)
Bowel Ischemia
(1)
Bowel Wall Hemorrhage
(1)
Colovesical Fistula
(1)
Dermoid Cyst
(2)
Diverticulitis
(4)
Endometrial Atrophy
(1)
Endometrial Polyp
(1)
Endometrial carcinoma
(3)
Ileal Carcinoid Mass
(1)
Ileal Lymphoma
(1)
Intestinal Lymphoma
(2)
Peritoneal Cavity Diseases
(1)
Peritoneal Cystic Lesions
(1)
Peritoneal Pathology
(1)
Prostatic Lesions
(8)
Sonographic Examination of the Scrotum
(1)
Spermatic cord(normal anatomy)
(1)
adnexal cyst
(1)
appendiceal abscess
(4)
ascitis
(1)
cervical carcinoma
(18)
colon
(6)
colon(TB)
(2)
colon(amebiasis)
(1)
colon(appendicitis)
(2)
colon(crohn disease)
(2)
colon(diverticulitis)
(2)
colon(leukaemia)
(1)
colon(normal CT findings)
(1)
colon(pseudomembranous colitis)
(1)
colon(ulcerative colitis)
(4)
colonic dilatation
(2)
crohn s disease
(4)
cul-de-sac abscess
(2)
cysto-urethrogram
(1)
diffuse retro peritoneal lesions
(4)
doppler study of bowel vessels
(1)
doppler study of abdominal aorta
(1)
early ruptured aortic aneurysm
(1)
effusion versus ascites
(4)
endometriomas
(1)
enlarged right gonadal vein
(1)
ependymal cyst
(1)
epididymitis
(3)
hyro-salpinx
(1)
hysterosalpingography
(26)
inguinal hernia
(2)
inter vertebral foramen masses
(8)
intestinal masses
(1)
intra-peritoneal spaces
(3)
ischaemic colitis
(3)
lesser sac ascites
(1)
lesser sac hernia(strangulated)
(1)
malignant ascites
(2)
organ of zuckerkandl paraganglioma
(1)
ovarian and testicular lymph adenopathy
(1)
ovarian carcinoma
(7)
ovarian cyst
(2)
ovarian cyst-adeno--carcinoma
(1)
ovarian cyst-adenoma
(1)
ovarian dermoid
(1)
ovarian polycystic disease
(1)
ovary benign cystadenoma
(1)
ovary carcinoma
(1)
ovary cystic teratoma
(1)
ovary endometrioma
(1)
ovary functional cyst
(1)
ovary hemorrhagic functional cyst
(1)
ovary hydrosalpinx
(1)
ovary metastatic ovarian carcinoma
(1)
ovary tubo-ovarian abscess
(1)
pelvic diseases
(135)
peritoneal and pleural mesothelioma
(1)
peritoneal endometriosis
(1)
peritoneal fat necrosis
(1)
peritoneal masses
(9)
peritoneal mesothelioma primary type
(1)
peritoneal metastases
(2)
peritonial anatomy
(1)
peritonitis
(1)
pyosalpnix
(1)
retro peritoneal L.N. anatomy
(2)
retro peritoneal diseases
(38)
retro peritoneal fibrosis
(3)
retro peritoneal hemorrhage
(1)
retro peritoneal lymph adenopathy
(10)
scrotal anatomy
(1)
scrotal diseases
(47)
simple hydrocele
(2)
simple spermatocele
(2)
spigelian hernia
(1)
teratoma non invasive
(2)
testicle intra-canalicular
(1)
testicular cyst
(1)
testicular microlithiasis
(2)
testicular seminoma
(2)
testicular summary points
(1)
testicular teratoma
(1)
testicular torsion
(3)
testicular trauma
(1)
testicular tumor
(1)
testis Acute Epididymo-orchitis
(1)
testis Acute Orchitis
(1)
testis Choriocarcinoma
(1)
testis Chronic Epididymitis
(1)
testis Malignant Melanoma Metastasis
(1)
testis Seminoma
(1)
testis cyst
(1)
testis dilated rete testis
(1)
testis fractured
(1)
testis hydrocele
(1)
testis torsion
(1)
testis varicocele
(1)
toxic megacolon
(1)
ureteral duplication
(1)
ureterocele
(4)
urinary bladder Diverticulum
(1)
urinary bladder Enlarged Prostate
(1)
urinary bladder carcinoma
(5)
urinary bladder ectopic ureterocele
(1)
urinary bladder infection
(1)
urinary bladder rupture
(1)
urinary bladder thickened wall
(1)
uterine adenomyosis
(1)
uterine fibroid
(1)
varices
(1)
varicocele
(10)
ventral hernia
(1)
vertebral column diseases
(37)
vertebral hemangioma
(5)
vertebral lesions
(15)
vertebral osteo-arthritis
(1)
vertebral osteomyelitis
(2)
vertebral trauma
(1)
vertebral tumors
(1)
vesico-ureteric reflux
(20)
Dictionary
MUSCULO-SKELETAL IMAGING
Ant. Cruciate Ligament Tear
(1)
Ant.cruciate ligament tear
(1)
BONE
(3)
Bone Tumor Diagnosis
(1)
Bone tumors radiology
(1)
Discitis and Osteomyelitis
(1)
Eccentric Bone Lesion(DD)
(1)
Enchondroma
(3)
Epiphyseal Medullary
(1)
Fibrous Dysplasia
(2)
Gout
(1)
Joubert Syndrome
(1)
Jumpers Knee
(1)
Kager's fat pad
(2)
Lateral Collateral Ligament Tear
(1)
Long Bone Review
(1)
Medial Collateral Ligament Tear
(1)
Meniscal Tears
(1)
Metaphyseal
(3)
Myelomeningocele
(1)
Osgood-schlatter Disease
(1)
Osteo-arthritis
(1)
Osteo-arthritis(video)
(1)
Osteo-chondritis Dissecans
(1)
Osteo-necrosis
(1)
Osteomyelitis
(4)
Patellar Retinaculum Disruption
(1)
Patellar Tendonitis
(1)
Patellar tendon tear
(5)
Piriformis Syndrome
(1)
Plantar Fasciitis
(1)
Posterior cruciate Ligament Tear
(1)
Psoriatic Arthropathy
(1)
Quadriceps Tendinopathy
(2)
Quadriceps Tendon Tear
(2)
Rheumatoid Arthritis
(1)
Rickets
(9)
Stress Fracture
(1)
Synovial Cyst
(1)
Thoracic and Lumbar Spine Review
(1)
avascular necrosis
(3)
eccentric medullary bone lesion(DD)
(1)
medullary bone lesion(DD)
(1)
medullary lesion=enchondroma
(1)
paravertebral masses
(3)
patellar fat pad abnormalities
(2)
patellar tendon(normal anatomy)
(2)
simple bone cyst
(2)
spinal cord ADEM disease
(1)
spinal cord astrocytoma
(1)
spinal cord contusion
(1)
spinal cord diseases
(25)
spinal cord ependymoma
(1)
spinal cord metastases
(1)
spinal cord multiple sclerosis
(1)
spinal disraphism
(1)
spinal stenosis
(1)
spondylolisthesis
(1)
tendon achilles anatomy
(1)
vertebral column diseases
(37)
vertebral hemangioma
(5)
vertebral lesions
(15)
vertebral osteo-arthritis
(1)
vertebral osteomyelitis
(2)
vertebral trauma
(1)
vertebral tumors
(1)
MISCELLENEOUS
GENERAL HEALTH
(28)
MULTI-SYSTEM DISEASE
(4)
PREGNANCY
(1)
RADIOLOGY VIDEOS
(3)
Forex Robot
Click Here!
Shopping and Markets
American Language
Heel-That-Pain Program
My Nursing Uniforms
Vacation Made Easy
e vitamins
Case Logic
Teaching Company
Life Photo
Kids Robot
Perfume World Wide
The Astrological Elements
Paris Transport
deltapharm
Radiology Know How
Radiology Know How
03/27 - 04/03 (2)
02/20 - 02/27 (3)
01/30 - 02/06 (12)
12/26 - 01/02 (1)
12/19 - 12/26 (9)
12/12 - 12/19 (5)
11/21 - 11/28 (23)
11/14 - 11/21 (17)
10/24 - 10/31 (25)
10/17 - 10/24 (10)
10/10 - 10/17 (3)
10/03 - 10/10 (4)
09/26 - 10/03 (64)
09/19 - 09/26 (9)
09/12 - 09/19 (5)
09/05 - 09/12 (8)
08/29 - 09/05 (4)
08/22 - 08/29 (8)
08/15 - 08/22 (5)
08/08 - 08/15 (52)
08/01 - 08/08 (7)
07/25 - 08/01 (76)
07/18 - 07/25 (37)
07/11 - 07/18 (55)
07/04 - 07/11 (65)
06/27 - 07/04 (40)
06/20 - 06/27 (9)
06/13 - 06/20 (83)
06/06 - 06/13 (71)
05/30 - 06/06 (25)
05/23 - 05/30 (37)
05/16 - 05/23 (54)
05/09 - 05/16 (76)
05/02 - 05/09 (54)
04/25 - 05/02 (100)
04/18 - 04/25 (47)
04/11 - 04/18 (58)
04/04 - 04/11 (109)
03/28 - 04/04 (24)
03/21 - 03/28 (19)
03/14 - 03/21 (14)
02/28 - 03/07 (10)
02/21 - 02/28 (1)
02/14 - 02/21 (1)
01/31 - 02/07 (2)
12/20 - 12/27 (2)
12/13 - 12/20 (6)
12/06 - 12/13 (3)
11/08 - 11/15 (9)
11/01 - 11/08 (20)
10/25 - 11/01 (44)
10/18 - 10/25 (36)
10/11 - 10/18 (24)
10/04 - 10/11 (53)
Book Shops
My Other Blogs
Ultrasound Spirit
Scintigraphy Spirit
X-RayMuseum
Favorite Sites
fetal ultrasound
e-radiography
e-radiology
yasser metwally
Radiopaedia
virgenia education
medpix
radiology assistant
nuclear medicine site
uhrad
wayne edu.
The Portal for Radiology and Imaging related sites
harvad education
radiographics rsna
learning radiology
medcyclopedia
cardiothorasic imaging
radiology edu
chest review
chorus
radiology education
auntminnie
mypacs
radiology museum
Special Services
Body Mass Index
Baby Name Finder
Due Date Calculator
Birthday Tool
Pregnancy Weight Gain Estimator
Ovulation Calculator
Baby Calender
Pregnancy Calinder
Fertility Calculator
Body Mass Index Calculator
BBC News
CCN News
Radiology Spirit Counter
Free Counter
The following text will not be seen after you upload your website, please keep it in order to retain your counter functionality
casino gaming
Free Web Page Counter
Followers
No comments:
Post a Comment