
inner ear malformation computed tomographyCoronal section through the middle ear at the level of the oval window niche. Isolated malformation with a dilated lateral semicircular canal (arrow). The second portion of the facial nerve canal runs in a normal fashion underneath the lateral semicircular canal (crossed arrow).

Artesia of the external ear canal- computed tomography.Transverse section through the epitympanun. Normally developed inner ear structures and mastoid air cells white malformed ossicles are fused with the wall of the middle ear cleft (arrow).

Chronic otitis - computed tomographyTransverse section through the epitympanun. The mastoid aircells are opacified having thickened sclerotic septae. A suspicious cholesteatoma is seen in the aditus with erosion of the short process of the incus (arrow).

Cholesteatoma - computed tomographyCoronal section through the anterior portion of the middle ear cleft. A small cholesteatoma interposed between the head of the malleus (white arrow) and the eroded scutum (black arrow).

Labyrinth fistula - computed tomographyCoronal section through middle ear at the level of the oval window (black arrow). A large cholesteatoma fills in the middle ear and has eroded the bone covering the lateral semicircular canal (white arrow). The ossicles have been eroded.

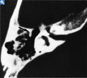
Facial schwannoma - computed tomographyTransverse section through the upper portion of the epitympanun. The labyrinthine portion of the facial nerve canal is expanded (black arrow) and an expansile lesion is present at the level of the geniculate ganglion (open arrow).
No comments:
Post a Comment